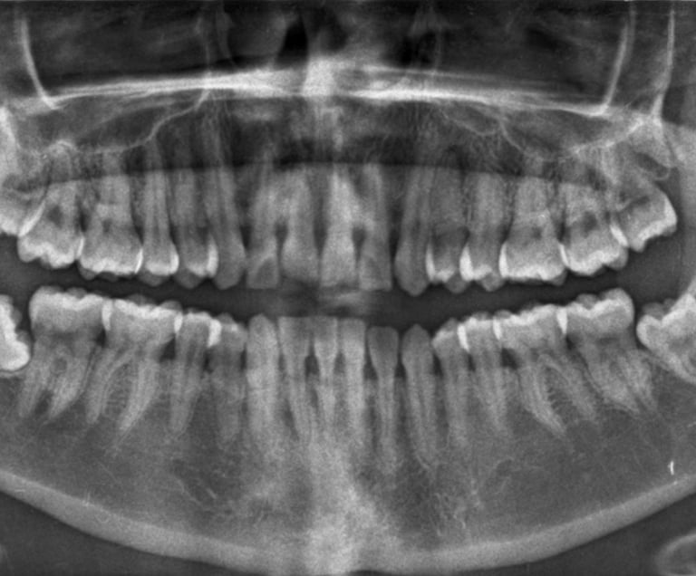
¿Qué son los Rayos X?
Los rayos X, también conocidos como radiografías, son un estudio médico que permite ver el interior del cuerpo de manera rápida y sencilla.
Utilizan una pequeña dosis de radiación para obtener imágenes de los huesos, pulmones y otros órganos.
Son muy útiles para detectar fracturas, infecciones, problemas pulmonares o dentales, entre otros.
El procedimiento es completamente indoloro y solo toma unos minutos.
Durante el estudio, el paciente permanece quieto mientras un equipo especial toma la imagen.
Gracias a los avances tecnológicos, las radiografías actuales ofrecen mayor calidad y menor exposición a radiación.
¿Qué es un Ultrasonido?
El ultrasonido es un estudio médico que permite ver el interior del cuerpo utilizando ondas de sonido, sin necesidad de radiación ni procedimientos invasivos.
Gracias a esta tecnología, los médicos pueden observar órganos como el hígado, riñones, tiroides, útero o el desarrollo del bebé durante el embarazo.
Es una herramienta muy útil para detectar alteraciones, controlar tratamientos o simplemente revisar que todo esté funcionando bien.
El examen se realiza colocando un gel sobre la piel y moviendo un pequeño transductor que capta las imágenes en tiempo real.
No produce dolor ni molestias, y en la mayoría de los casos no requiere preparación especial.
Su gran ventaja es que ofrece resultados rápidos y confiables, ayudando a tomar decisiones médicas con mayor precisión.
Además, es completamente seguro para todas las edades, incluso para mujeres embarazadas























